Quel objectif pour un dentiste-orthodontiste ?

Démarré par Lionel_D70, Novembre 24, 2014, 11:14:46

« précédent - suivant »

Lionel_D70

Bonjour,

on me demande des conseils pour un dentiste qui devra réaliser des photos de visage et de la dentition (bouche ouverte et fermée).

Sur un D7000 ou un D7100, quel objectif serait idéal?
- un 70mm macro?
- le 16-85 conviendrait il?

merci

Lyr

J'aurais pensé au 40mm macro DX qui est bien, pas cher et qui permettra d'aller chercher les détails au besoin.

seba


Lionel_D70

Citation de: Lyr le Novembre 24, 2014, 11:21:25
J'aurais pensé au 40mm macro DX qui est bien, pas cher et qui permettra d'aller chercher les détails au besoin.

ah ben tiens c'est marrant parce que justement je viens de découvrir l'existence de ce modèle qui est lumineux et pas très cher, en plus il permet de se rapprocher jusqu'à 16cm.

Je me demande ce qu'il donnerait avec un flash annulaire comme celui ci.
http://www.missnumerique.com/inter-image-flash-annulaire-emoblitz-compatible-nikon-p-3608.html

Jean Louis

Citation de: seba le Novembre 24, 2014, 11:29:21
Un antique Medical-Nikkor.

De plus cette optique de 120 était équipée d'un d'un flash annulaire, objectif vraiment adapté pour cet usage. Il parait que l'on en trouve pour pas grand chose.
La photo! retour vers le passé

Lionel_D70

merci pour la parenthèse historique du medical-nikkor mais c'est pas ce que je cherche lol

seba

Citation de: Jean Louis le Novembre 24, 2014, 11:40:28
De plus cette optique de 120 était équipée d'un d'un flash annulaire, objectif vraiment adapté pour cet usage. Il parait que l'on en trouve pour pas grand chose.

Non, le 200/5,6. Dans son jus.

Phil03

Quelqu'un de ce forum vient de me,signaler ce fil. Je donne juste mon avis.

Exerçant cette profession, pour ma part, avec un D7100, je partirais simplement sur un 18-55 de kit de base.
C'est celui que j'utilise, j'avais aussi pris un 40 macro mais il ne sert à rien...
Les objectifs purement macro sont peu utiles, sauf à vouloir immortaliser un point très précis.

On est à la recherche de Max d'éléments possibles sur 1 image, d'où une très grande pdc, et la faible ouverture d'un simple 18-50 n'est aucunement un handicap.

Je réalise mes photos avec un D3100 pour les faces et profils, avec le flash incorporé qui est particulièrement efficace. Je suppose que pour le D7100, il doit en être de même.
Pour les intra buccales, on doit être net de l'incisive à la molaire ! Et la on est sur de l'Apsc, il faut fermer à f14 minimum... D'où l'obligation de flash. Mais le flash avec miroir en intra, pas simple, (mais des solutions se trouvent avec l'habitude sur les angles de pdv )

Concernant la photo dentaire, on peut travailler avec du capteur plus petit sans soucis, la courte pdc aide pas mal. J'ai testé avec du M43, mais bof, je suis revenu au D3100 & 18-55.
(Il faut penser Mpx aussi, les images sont souvent croppées à ce qui nous intéresse.)

J'ai de fait un D3100 & 18-55 pour toutes les images de premières visites et bilan complet, puis impression.

En cours de traitement, pour un stockage aisé et des manifs simples, des QX100 Sony en wifi direct avec Ipad et 1 dossier patient sur l'iPad. Le suivi au fauteuil est simple, montrer sur ipad est très simple pour expliquer. Ces QX100 sont très utiles et efficaces, sacré gain de temps côté maniabilité, stockage transitoire etc...

(Pour les cas particuliers en macro, un QX1 et 30 Macro ont rejoint les autres appareils)

Sincèrement, au delà de 85mm équivalent FF, je ne vois pas trop l'intérêt.

Lionel_D70

#8
Citation de: Phil03 le Novembre 24, 2014, 12:19:55
Quelqu'un de ce forum vient de me,signaler ce fil. Je donne juste mon avis.


Merci Phil pour votre avis, et en plus si vous êtes dentiste (ou orthodontiste) et photographe à la fois, votre avis est précieux.
C'est pour un orthodontiste en fait, la solution.... mais je pense que la problématique est la même que pour un dentiste...

Récemment j'avais fait acheter à une amie dentiste un D7000 (à son prix bradé imbattable) et le 16-85VR-3.5/5.6 et quand on a fait des essais on était pas arrivés à un réglage correct (ceci dit on avait pas passé  beaucoup de temps, vous êtes toujours over-bookés les dentistes lol) avec le flash intégré, et encore moins avec l'éclairage du fauteuil.
Du coup elle continue à faire ses photos (pour le prothésiste) avec son Iphone et elle fait ses photos de vacance avec le D7000 :-)

Là maintenant pour l'orthodontiste, je pensais à un objectif macro pour permettre de se rapprocher à 20-30 cm pour bien cadrer la bouche et ensuite, comme vous le signalez, la profondeur de champ nécessaire implique de fermer le diaph donc il faut apporter de la lumière et à faible distance le flash intégré perd son efficacité alors je pensais à lui faire acheter un flash annulaire (Sigma ou Nikon)

Après, par rapport à votre remarque finale, il y a un intérêt à des objectifs macro de focales > équivalent 85mm, c'est que plus la focale est élevée plus on peut s'éloigner du sujet à cadrage égal et laisser la lumière atteindre ce sujet et aussi il y a moins de déformations avec un télé-objectif qu'avec un grand angle.
J'ai personnellement le Macro Nikkor 105VR-208 et cet objectif n'a aucune distorsion décelable.

je vais continuer à creuser la question et je ne manquerai pas de les rapporter ici :-)

Lyr

Le téléobjectif va permettre une plus grande distance de travail, en effet, mais l'atération de la perspective peut diminuer la visibilité de certains des plans arrières.

Si tu es proche, les fuyantes sont très marquées, donc les molaires seront "plus au centre".
Si tu es loin, les fuyantes sont beaucoup moins marquées et donc les molaires seront plus "au même niveau" que les incisives.

Parfois il faut s'approcher pour tout voir.

A tester déjà avec le zoom de base en faisant un cliché avec le même cadrage mais d'une part au 18mm et d'autre part au 55mm.

Franciscus Corvinus

Pour etre iconoclaste, un iPhone 6 pour la PdC et la qualité des photos, éclairage compris?

Lyr

Citation de: Franciscus Corvinus le Novembre 24, 2014, 15:13:23
Pour etre iconoclaste, un iPhone 6 pour la PdC et la qualité des photos, éclairage compris?

Ok, mais tu le montes comment, l'iPhone, sur ton D7000? :o

;)

Raphael1967

Je verrais bien un 14-24mm f/2.8 pour maintenir la bouche bien ouverte.
Raphaël

Phil03

Citation de: Lionel_D70 le Novembre 24, 2014, 13:27:24
Merci Phil pour votre avis, et en plus si vous êtes dentiste (ou orthodontiste) et photographe à la fois, votre avis est précieux.
C'est pour un orthodontiste en fait, la solution.... mais je pense que la problématique est la même que pour un dentiste...

Récemment j'avais fait acheter à une amie dentiste un D7000 (à son prix bradé imbattable) et le 16-85VR-3.5/5.6 et quand on a fait des essais on était pas arrivés à un réglage correct (ceci dit on avait pas passé  beaucoup de temps, vous êtes toujours over-bookés les dentistes lol) avec le flash intégré, et encore moins avec l'éclairage du fauteuil.
Du coup elle continue à faire ses photos (pour le prothésiste) avec son Iphone et elle fait ses photos de vacance avec le D7000 :-)

Là maintenant pour l'orthodontiste, je pensais à un objectif macro pour permettre de se rapprocher à 20-30 cm pour bien cadrer la bouche et ensuite, comme vous le signalez, la profondeur de champ nécessaire implique de fermer le diaph donc il faut apporter de la lumière et à faible distance le flash intégré perd son efficacité alors je pensais à lui faire acheter un flash annulaire (Sigma ou Nikon)

Après, par rapport à votre remarque finale, il y a un intérêt à des objectifs macro de focales > équivalent 85mm, c'est que plus la focale est élevée plus on peut s'éloigner du sujet à cadrage égal et laisser la lumière atteindre ce sujet et aussi il y a moins de déformations avec un télé-objectif qu'avec un grand angle.
J'ai personnellement le Macro Nikkor 105VR-208 et cet objectif n'a aucune distorsion décelable.

je vais continuer à creuser la question et je ne manquerai pas de les rapporter ici :-)

De re passage par ici.

Alors, le besoin en photo du coté praticien chirurgien-dentiste omnipraticien et Orthodontiste est différent en général, sauf cas assez rare de praticiens cherchant des "cas" en vue de publication, articles etc... Mais pour eux, ils savent et sont déjà équipés.

1 point commun entre les 2 : ne jamais photographier sous le scialytique (la "lampe") même si les dernières générations en LED sont déjà beaucoup mieux....

Alors : Chirurgien-dentiste omnipraticien.
Ma femme exerce cette profession, et a aussi besoin de photo, mais ça reste de la proxi pour effectivement communiquer avec son prothésiste, pour des prothèses-couronnes esthétiques : choix de teinte, forme de dent etc...
Elle a commencé avec son Iphone 4, et la qualité était trop juste.
Elle s'y est mise avec aussi un QX100, connecté à l'iphone, image directement dans le telephone, un coup de mail chez le prothésiste. Le QX permet une maniabilité facile et une mise en oeuvre très rapide
Le plus important est le respect de la bdb, et là, les flashs etc... pas si simple.
Le plus efficace, reproductible et complètement stable dans le temps, je lui ai fait investir dans un plafonnier luminaire. Là, plus besoin de flash, température de lumière de l'environnement constant, et cerise sur le gateau, quel confort en plus visuellement pour le travail !

Maintenant, je suis les retours de l'iphone 6, et comme le soulignait Lyr, c'est très loin d'être iconoclaste, j'ai l'impression que ce téléphone  pourrait marcher. Là, ça serait encore plus rapide ! plus de connexion QX etc....
Un omni sérieusement n'a pas besoin de APSC etc pour son utilisation, sauf le plaisir de défiscaliser un appareil.... MAis j'y vois plus de contraintes et perte de temps qu'autre chose.
Il faut surtout privilégier la bdb et sa reproductibilité, la connectivité simple et rapide pour transférer vite l'image !

Je trouve tout à fait logique que le D7000 ne sorte pas ! trop complexe & long . Il faut être rapide, fiable et connecté.
Orthodontie.
Là, c'est mon coté.
Ca ne reste que mon expérience, mais j'ai passé pas mal de matériel dans mon cabinet, et essayé beaucoup de chose.
A savoir que encore à ce jour, voir aussi du coté du Congrès qui va débuter d'ici quelques jours du coté du palais des congrès, mais la photographie dentaire a longtemps été le domaine des Canon série G, et rush des RX100 depuis 2 ans.
Tout simplement, les confrères veulent cadrer, appuyer, que se soit net et visible. Les compacts sont encore archi majoritaires dans les cabinets.

Maintenant, le FF est franchement à éviter, on n'est pas là pour faire du studio.. L'Apsc est déjà à mon avis très large.
Mais c'est ce que j'utilise pour les bilans, donc D3100 & 18-55. C'est largement suffisant, peut être des mini déformations etc... mais dans la vraie vie, ce qui nous importe vraiment, c'est trop négligeable.

Pour les traitements en cours, où les photos prises ne le seront que temporairement pour visualiser des progrès, avoir des repères (avant une mise en élastique par exemple, une dent mal placée, suivre sa descente et mise en place etc....) , on ne les imprime pas. QX100, stockage Ipad. Après quelques temps, resultat obtenu, on décide de garder ou pas.
LE QX1 en macro ne sert qu'à prendre des défauts dentaires, histoire de pouvoir rappeler au cas où que la tache sur cette dent, ce n'est pas le traitement qui l'a fait, ou autre exemple de ce type (fracture dentaire...)

Bref, Apsc oui, mais il faut oublier le mode vert. C'est A et on ferme. En auto, rien de bon, ça sera flou de bout en bout.
A noter que l'importance bdb est bien moindre.

Le objectifs  photo sont très différents à mon sens entre ces 2 professions bien distinctes

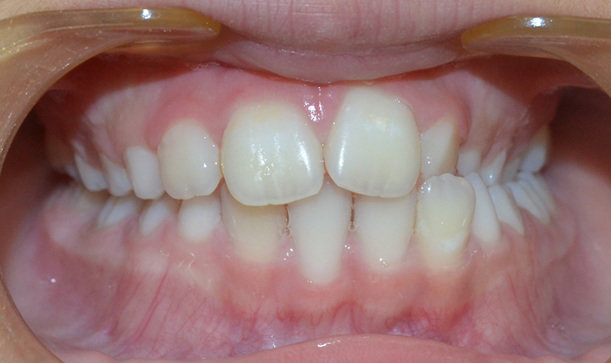
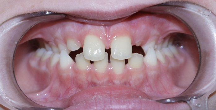
Exemple, je suis à F14 et f16 sur ces exemples, et même les molaires commencent à ne plus être nettes.










Nicolas2

Citation de: Franciscus Corvinus le Novembre 24, 2014, 15:13:23
Pour etre iconoclaste, un iPhone 6 pour la PdC et la qualité des photos, éclairage compris?
Pas iconoclaste du tout !  c'est largement suffisant pour l'usage qui en est fait et ça tient dans la poche. Flux de photo activé, tu as les photos directement sur ton mac  ;)

pacmoab

Très instructif tout ça Phil   8)
Et là on fait quoi ? ;D

Lionel_D70

merci Phil pour ces retours précieux,

dans les exemples vous êtes à f:14 - f:16 mais à quelle distance de prise de vue par exemple?

et j'ai du mal à croire que c'est avec le flash intégré???

car le résultat est très bon......

Phil03

Citation de: pacmoab le Novembre 24, 2014, 16:54:11
Très instructif tout ça Phil   8)
Et là on fait quoi ? ;D

;D

Citation de: Lionel_D70 le Novembre 24, 2014, 16:57:11
merci Phil pour ces retours précieux,

dans les exemples vous êtes à f:14 - f:16 mais à quelle distance de prise de vue par exemple?

et j'ai du mal à croire que c'est avec le flash intégré???

car le résultat est très bon......
C'est bien sur du jpeg direct, croppé
Oui, c'est le flash intégré. Il est très bon. La bdb des blancs varie un peu cf les exemples, mais je m'en fiche en fait. Ça reste assez régulier, c'est le plus important ( ça varie nuit / jour, soleil dans le cabinet ou pas etc...)

Côté distance, je suis très près, pas loin de la distance mini de map, je me surprends souvent à devoir reculer un peu pour obtenir la map. Je dois être vers les 40 cm maxi (je je connais pas la distance mini du 18-55)

Pour les portraits, face + profil, idem, je reste fermé genre f9 mini, et je passe entre 45-55 mm, à hauteur du visage , dans les 1 mètre maxi. Idem, action du flash parfaite, pas d'ombres sous les arêtes nasales, philtrum net ...

Maintenant, pas mal d'objectifs feront le job sans soucis évidement ;)
Juste que le petit , léger zoom de base du kit, avec le petit flash incorporé fait franchement bien le boulot.

Et pour le/ la confrère omnipraticien, la solution QX (le 10 suffit, et au prix ou on le touche ;) ) et/ou iphone 6 est sûrement la plus simple à utiliser en réel et en direct en cabinet. Le QX à de plus une maniabilité et angle de pdv que offre difficilement le smartphone.

Lionel_D70

je suis épaté de voir ce résultat avec le flash intégré..

le flash ne fait pas une ombre au niveau de l'objectif?

Phil03

Citation de: Lionel_D70 le Novembre 24, 2014, 17:21:44
je suis épaté de voir ce résultat avec le flash intégré..

le flash ne fait pas une ombre au niveau de l'objectif?

Aucun problème. JAMAIS remarqué le moindre problème de ce côté là, du moins dans cette utilisation.
Utilisation on ne peut plus simple, jpeg, Flash sorti, mode À, f14, map proche, et on clique.

Phil03

Citation de: Phil03 le Novembre 24, 2014, 17:49:13
Aucun problème. JAMAIS remarqué le moindre problème de ce côté là, du moins dans cette utilisation.
Utilisation on ne peut plus simple, jpeg, Flash sorti, mode À, f14, map proche, et on clique.

J'ai oublié évidement cet appareil pour les chirurgiens-dentistes omnipraticiens
http://www.chassimages.com/forum/index.php/topic,219413.msg4917110.html#msg4917110

Tout pour plaire celui là ;)

emvri85

Pour compléter :
Pour un omnipraticien souhaitant faire des images d'une dent précise (ou quelques dents contiguës), la solution la plus simple reste la caméra endo-buccale.
Cette solution est en revanche à oublier pour une vue de face ou avec les arcades complètes.

Jean Louis

Heureusement qu'il n'y a pas de gynécologue sur ce fil, on imagine les photos.  ;D
La photo! retour vers le passé


emvri85